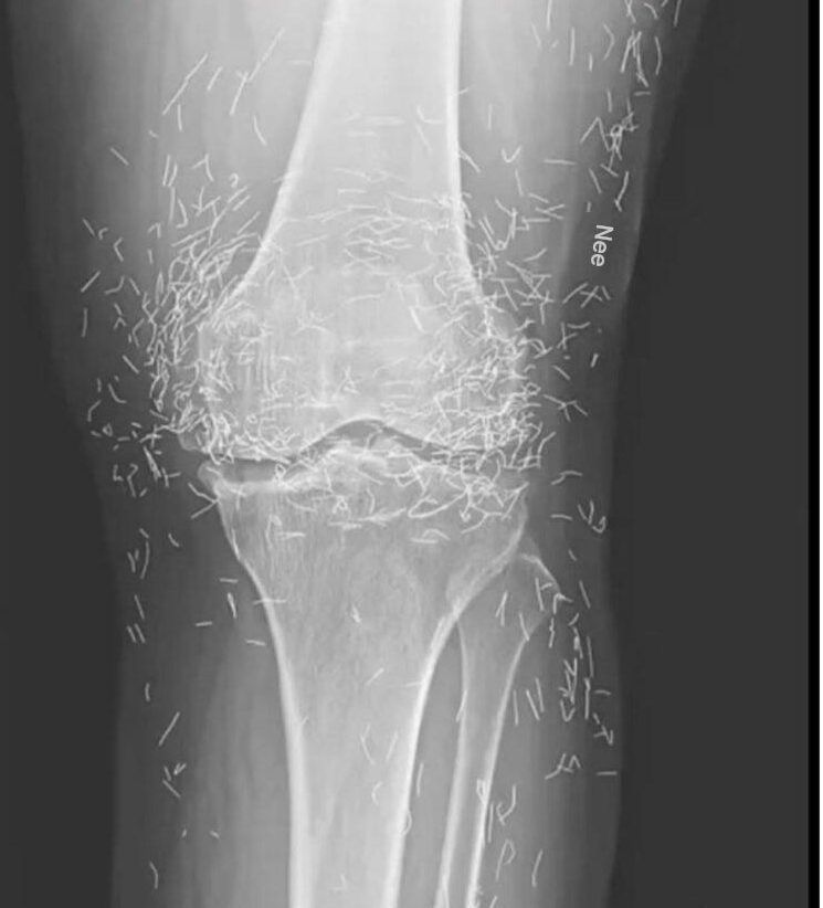
Als Ärzte ein Röntgenbild der Knie einer älteren Frau untersuchten, die unter starken Gelenkschmerzen litt, entdeckten sie eine Goldgrube: Hunderte winziger goldener Akupunkturnadeln waren in ihrem Gewebe zurückgeblieben.

Als Ärzte ein Röntgenbild der Knie einer älteren Frau untersuchten, die unter starken Gelenkschmerzen litt, entdeckten sie eine Goldgrube: Hunderte winziger goldener Akupunkturnadeln waren in ihrem Gewebe zurückgeblieben.

Die 65-jährige Südkoreanerin war zuvor an Arthrose erkrankt, eine Erkrankung, bei der Knorpel und Knochen in den Gelenken abgebaut werden, was Schmerzen und Steifheit verursachte. Als Schmerzmittel und Entzündungshemmer die Knieschmerzen jedoch nicht linderten und lediglich Magenbeschwerden auslösten, wandte sie sich der Akupunktur zu, wie Ärzte vergangene Woche im New England Journal of Medicine berichteten.

 

 

Akupunktur ist eine alternative Heilmethode, bei der Nadeln eingesetzt werden, um bestimmte Punkte am Körper zu stimulieren und so Schmerzen zu lindern oder verschiedene Krankheiten zu behandeln.

Während der Akupunkturbehandlung der Frau wurden die Nadeln, die vermutlich aus Gold bestanden, absichtlich in ihrem Gewebe belassen, um eine kontinuierliche Stimulation zu gewährleisten, heißt es in dem Bericht.

Es sei jedoch keine gute Idee, Nadeln oder andere Gegenstände im Körper zu belassen, sagt Dr. Ali Guermazi, Professor für Radiologie an der Boston University, der nicht in den Fall involviert war. Fremdkörper im Körper können zu Entzündungen, Abszessen und Infektionen führen.

Es könnte auch die Beurteilung eines Röntgenbildes durch den Arzt erschweren. „Die Nadeln können Teile der Anatomie verdecken“, sagt Guermazi.

 

 

Wenn Sie fortfahren möchten, klicken Sie auf die Schaltfläche unter der Anzeige.⤵️

Leave a Comment